
Choosing an Implant Dentist
As a patient, you aren't powerless when it comes to the outcome you can expect from dental implants.
You can steer the results of your dental procedure by choosing an implant dentist with the right skills, experience, and reputation.
Many patients choose Dr. Stephen J. Malki in River Edge, NJ, to place and restore their dental implants. Let's explore the reasons why...
What Makes Dr. Malki A Great Choice?
Every stage of care happens under one roof, overseen by one implant dentist.
Dr. Malki plans and performs every procedure from start to finish, with every stage of treatment taking place in his River Edge, NJ, dentistry office. In fact, the dental lab that makes his crowns, bridges, and dentures is right across the hall from us.
He has performed hundreds of dental implant procedures and has completed extensive continuing education.
Dr. Malki graduated from the University of Medicine and Dentistry of New Jersey in 1997. He has been mentored by implant experts from around the world, and has completed more than 1,900 hours of continuing education in the last decade alone. Since opening his practice in River Edge, NJ, he has performed hundreds of implant procedures.
Dr. Malki has 50+ 5-star reviews on Google.
There is no reason for unhappy dentistry patients to hold back when it comes to Google reviews. That's just one reason why it's so impressive that Dr. Malki has earned more than 50 5-star reviews on Google, praising everything from his general dental care to his solutions for complex restorative cases.He has credentials that most implant dentists do not.
Dr. Stephen Malki is a Diplomate of the American Board of Oral Implantologists; a Fellow of the American Academy of Implant Dentistry and the American Academy of General Dentistry; a Diplomate of the International Congress of Oral Implantologists; and a Master of the Misch International Implant Institute. Only a small percentage of dentists in the country have credentials with these five implant organizations.
Find Out for Yourself Why Dr. Malki Is the Implant Dentist of Choice for So Many
While real patient reviews and long lists of prestigious credentials matter, the impression your implant dentist makes during a face-to-face appointment is also important. If you have been suffering with missing teeth, want to experience the benefits of dental implants, and believe that Dr. Malki might be the right doctor for the job, we invite you to request a consultation at our dentistry practice serving Bergen County, NJ.
When you meet with Dr. Malki, you will be able to explain your goals in detail, receive an expert recommendation regarding treatment, and ask as many questions as you would like about the procedure, his experience, and any other aspect of dental implants treatment.
Do you live in Paramus or nearby? Don't wait any longer to take the very important first step toward a rehabilitated smile. Reach out to our River Edge, NJ, office today to request your consultation with one of the state's most qualified and recommended implant dentists. You can send us a message or call us directly:

"Dr. Malki is simply the best."
"The rave reviews of Dr. Malki's staff and facilities are well deserved, but his skills don't get enough recognition. I'm a diabetic, Dr. Malki performed an all on 4 implant procedure on my lower jaw, and it was virtually pain-free. Dr. Malki is simply the best." Ken Domke, 5-Star Google Review
Real Patient Results
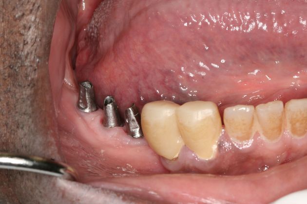
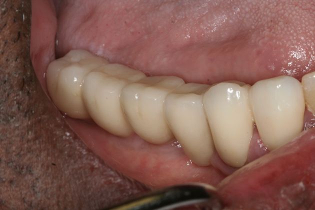
This 60-year-old dental patient had lost his lower back right teeth. Dr. Malki placed three dental implants in the back of the jaw to replace the missing tooth roots. After connecting custom restorations to the implants, Dr. Malki placed two dental crowns on the teeth in front of the implants. Working with the dental lab across the hall from our office, each restoration was crafted to look just like a natural tooth. Thanks to Dr. Malki's implant work and restoration of the compromised teeth, the patient can now chew comfortably and efficiently.
If I'm On a Budget Can I Still Work With an Excellent Implant Dentist?
The short answer is yes, you can—and yes, you really should. You will find too-good-to-be-true pricing as you look for providers in your area, but you must remember that these prices are low for reasons that won't benefit you in the long run. The dentist may be inexperienced, the materials may be low-quality, and other compromises could keep you from accessing the best benefits of dental implants.
Dr. Malki is a leading New Jersey implant dentist, drawing patients from Paramus and beyond, but he makes his dentistry treatment affordable in several important ways:

No Need for Referrals
When a practice has to refer patients to other specialists for different stages of implant treatment, costs increase. Because our Bergen County, NJ, practice can handle every stage of your smile rehabilitation in our office, we keep costs lower than many practices that cannot. Even restorations like crowns and dentures are made in the lab across the hall from our office, eliminating shipping time and costs.

Low-Interest and Interest-Free Financing
CareCredit® is one of the best-known medical lenders, and it's largely because they make treatments such as dental implants affordable on virtually any budget. Based on your credit score, you can secure low-interest or even interest-free financing that allows you to pay for treatment in a way that won't strain your budget.

Excellent Results from the Start
When it comes to any medical procedure, a revision won't just be more difficult—it will also cost more than the initial procedure. By choosing a dentist like Dr. Malki who has trained extensively in dental implants and has handled hundreds of cases, you can expect excellent results that provide decades of benefits, with no need to pay another dentist to get it right.
Bergen County Recommends Dr. Malki
Highly recommend. So sweet, understanding, fit me in right away for an emergency visit. Staff is amazing. So happy with everything.
View on GoogleOver the last few years, I have had a few issues with one tooth that was badly broken when I was very young. After trying to temporarily fix the problem for months, Dr. Malki and his team decided on a different course of treatment to solve the issue for a longer period. It was their kindness and gentleness that helped make this process so easy. If I could give more than 5 stars, I would.
View on Google