
Teeth Whitening
Dazzling Results & So Much More
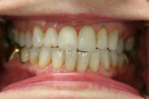
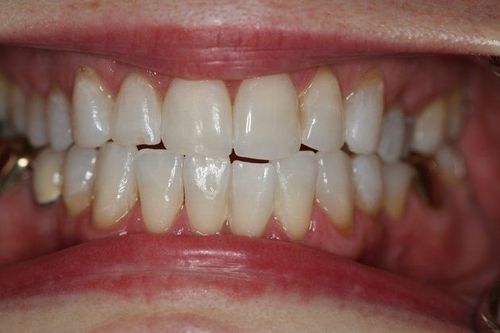
A Brighter, Whiter Smile
Due to the strength of our whitening products, you'll see whiter teeth after just one session. Dr. Malki can adjust the whitening treatment to meet your goals.
Safety and Comfort
Drugstore whitening products are notorious for exacerbating tooth sensitivity, producing little to no change, and even causing allergic reactions. Under Dr. Malki's care, you can expect a customized dental treatment that is comfortable and effective.Fast Treatment
Our professional-strength whitening gel can brighten your teeth in as little as an hour during an in-office visit. This is an excellent treatment option if you have an upcoming event like a wedding or reunion and need to look your best.
Boosted Confidence
Discoloration in a single tooth is enough to hamper anyone's self-confidence. Having brighter enamel will give your smile a healthier appearance and can boost your confidence.
You're One Call Away From Brighter Teeth Contact Our Bergen County, NJ, Dental Office Today
If you've tried over-the-counter whitening toothpaste and whitening strips, you're likely unimpressed with the results.
In-office teeth whitening works because it is administered under a dentist's care using a customized treatment approach. Dr. Malki has earned the trust of his patients by consistently delivering outstanding results. During your visit, our dentist can determine if you are a candidate for teeth whitening, and if you have any other cosmetic concerns, he can help you explore other options for upgrading your smile, such as porcelain veneers.
If tooth stains are making you think it's time to whiten your smile, contact Dr. Malki online or call:
(201) 646-0800

"I found the dentist of my dreams."
All precautions taken to make me feel safe during this time. Staff is very professional. I have been a patient for 20 years. Dr Malki is great!
View on GoogleI have never been to a dentist where I felt so relaxed. The procedure went well and I will be back to finish all my dental work now that I found the dentist of my dreams.
View on GoogleAm I a Candidate For Teeth Whitening?
Like any cosmetic dentistry treatment, patients need to be in good oral health before they undergo teeth whitening. Infections, damaged teeth, and gum disease are some conditions that need to be addressed with restorative dentistry or other solutions before a patient is qualified for cosmetic dentistry.
Dr. Malki is a comprehensive dentist who is capable of meeting all your needs under one roof. If there is a more urgent need that must be met before we can move ahead with cosmetic dentistry, he can provide the care you need in order to achieve the smile you want and deserve.
Why Use Professional Teeth Whitening Instead of Over-the-Counter Products?

Over-the-Counter Products
Store-bought whitening strips and whitening toothpaste can take weeks before patients start to see results. These products can also plateau, meaning they are limited in how much enamel whitening they can achieve. Meanwhile, these products don't involve dentists who can adjust teeth whitening products for tooth sensitivity. Over-the-counter whitening products can easily cause sore gums and teeth.

In-Office Whitening
Teeth whitening from a dentist can help prevent issues like irritating sensitive teeth or gums. Our in-office whitening gel provides a quicker outcome than products found in a store, giving you the results you want after just one session. Dr. Malki can inspect your oral health during your visit to his Bergen County, NJ, dental office and provide treatments for any issues affecting your candidacy.
How Teeth Whitening Treatment Works At Our Bergen County, NJ, Dental Office

Maintaining Your Results
Avoid Staining Foods and Liquids
Tea, coffee, wine, tomato sauce, and other darkly colored liquids and foods can stain your teeth. Using a straw can minimize contact between your enamel and these liquids. Brushing and rinsing your teeth after you eat can also help cut down on stains.
Use Whitening Toothpaste
Dr. Malki can recommend a tooth whitening toothpaste to help you maintain your brighter smile.
Avoid Smoking
Cigarettes and tobacco products will also stain your teeth. Tobacco also inhibits your ability to heal and can cause gum disease. We recommend quitting smoking, and then celebrating your achievement with teeth whitening.
Maintain Your Oral Health
Brushing twice and flossing once a day will help you maintain good oral health. You should also keep regular six-month checkups at our River Edge, NJ, dental office and schedule touch-up teeth whitening treatments as needed.
Paying for Teeth Whitening Treatment
Whitening treatment is not covered by insurance since it is a cosmetic dental procedure. Fortunately, teeth whitening is one of the most affordable dental treatments, and can improve your smile in a very short amount of time.
To help make bleaching and whitening fit your budget, our River Edge dental office in Bergen County, NJ, offers CareCredit® financing. This allows patients to make monthly payments rather than paying for treatment all at once. Talk to Dr. Malki and his staff to see if you qualify for financing.
"Dr. Malki is simply the best." Why Bergen County Trusts Dr. Malki
Dr Malki is the BEST! An overall great experience every time! Whether it’s just a cleaning or for a more involved procedure. Highly recommend Malki Dental!
View on GoogleI'm a diabetic, Dr. Maliki performed an all on 4 implant procedure on my lower jaw and it was virtually pain free. Dr. Malki is simply the best.
View on Google

