Invisalign
Straight, properly aligned teeth can boost your confidence in your appearance and even improve your oral health.
Invisalign® is a safe and effective system to help you achieve attractive, evenly spaced teeth.
At Malki Dental in Bergen County, NJ, Dr. Stephen J. Malki offers Invisalign orthodontics to patients who want to align their teeth.
Comparing Invisalign vs. Braces Patients Opt for Clear Aligners for a Reason
The aligner system is a more comfortable alternative to traditional metal braces. Invisalign replaces wires and brackets with clear, plastic aligners designed to naturally guide the teeth into proper alignment.
As a result, many patients prefer aligners because they are more discreet and result in less discomfort when compared to traditional braces. It is also more convenient: it can often be completed in less time and it's easier to brush and floss the teeth since the aligners are removable. Lastly, you don't need to visit an orthodontist to undergo treatment.

What Are the Benefits Of Clear Aligners?
Discreet Treatment
One of the most common reasons why patients choose Invisalign over braces is because treatment is much more discreet. In the past, certain patients may have felt apprehensive about straightening their teeth because of the visual drawbacks. With Invisalign’s clear trays, that problem is eliminated.
Less Discomfort
Another benefit of Invisalign is that it is pain-free. Patients won’t experience the painful cutting or tightening of wires in their mouth, or the development of mouth sores.
Easier Cleaning & Eating
Invisalign also makes daily tasks such as eating, talking, brushing, and flossing easier. Because the trays can be removed at any time, patients do not have to eliminate foods from their diet or worry about getting food stuck in between wires. This allows patients to adequately maintain their dental hygiene.
Improved Oral Health
Finally, Invisalign has a positive impact on a patient’s oral health. By aligning the teeth and eliminating gaps and crowding, this orthodontic system reduces the risk of gum disease, bone deterioration, and jaw problems such as TMJ disorder.
Curious About If You're Eligible? Request a Consultation
Dr. Malki has decades of experience crafting beautiful smiles for his patients, ever since our River Edge dental office was opened in 1999.
Mentored by some of the world's leading dental professionals, Dr. Malki is committed to fostering his knowledge for the benefit of his patients. Dr. Malki stays up-to-date on the latest dental techniques and technology by taking thousands of continuing education hours.
See if you're a candidate for Invisalign and meet with Dr. Malki by requesting a consultation at our Ridge Edge office in Bergen County, NJ or by calling
(201) 646-0800

We're Highly-Recommended By River Edge, NJ, Patients
Highly recommend. So sweet, understanding...Staff is amazing. So happy with everything.
View on GoogleGreat dentist
View on GoogleGet to Know Our Approach to Invisalign
Error: No $video_url from $page_url
URL or code copied from YouTube, Vimeo and other video sites should be entered in the Video field
Helping Patients With Dental Anxiety Feel Completely at Home
Had the best experience walking into the dentist office for the first time. I had everyone welcome me and treat me with the up most respect. When I received my cleaning Lisa was very nice and understanding and took her time...Explained everything throughly and precisely which helped my anxiety while being at a “dentist office”.
View on GoogleI've been a patient of Dr. Malki's office for many years now and they're the only dentists that I trust. As with many people, I am scared of the dentist, but I always feel safe with Dr. Malki and his team...Dr. Malki never pushes for unnecessary procedures...Thank you Dr. Malki.
View on GoogleTake It From This Happy Patient We Put You First
"Malki Dental is the place to be for all your needs! As a person who has been very hesitant about going to the dentist, this team dispels any fear that anyone may have. From the consultation all the way through completion of any services....the entire staff is so warm, and welcoming. They truly are passionate and love what they do! Dr. Malki has a great team." Leah Curry
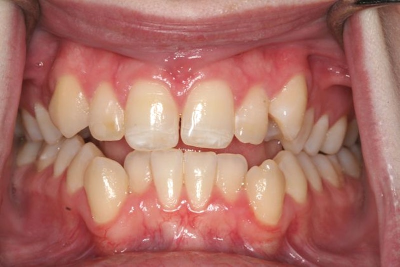
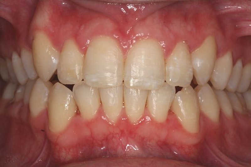
Wondering How Invisalign Can Transform Your Smile? These Before and After Photos Speak for Themselves
Many dental patients prefer to straighten their teeth with clear aligners rather than braces and traditional orthodontics. This is just one of our many patients who have achieved great orthodontic results with Invisalign.
How Long Does
Invisalign Take?
/
Each new set of aligners gradually shifts the teeth, creating a more aesthetically pleasing smile. The total length of treatment time will vary by individual, but most patients can expect to see full results in about a year. This timeline is similar to the amount of time it takes to correct tooth and jaw misalignment with traditional braces.
The Invisalign Treatment Timeline
Patients from River Edge, NJ, Paramus, NJ, and other areas of Bergen County can rely on us for successful Invisalign treatment. Treatment consists of several simple steps:
"Most patients can expect to see full results in about a year."
Wish You Could Refine Other Smile Concerns? Our Dentist Can Help with That Too
Invisalign is an excellent option to straighten your teeth and close tiny tooth gaps, but what if you have other insecurities? Our full-service Bergen County dental office also features several other cosmetic dentistry treatments, which we can conduct after your clear aligners treatment to truly rejuvenate your smile. They include:
Dental Bonding
From small chips to areas of discoloration, we often use dental bonding to make little cosmetic touch-ups to your teeth. That way, you can feel confident about every part of your smile.
Teeth Whitening
Yellowed or discolored enamel can affect your confidence just as much as misaligned teeth can. Luckily, our Paramus-area dentist offers convenient, powerful teeth whitening right in our office.
Dental Veneers
If you want to address multiple concerns at once, veneers are a versatile — and stunning — option. Placed over prepared teeth, these natural-looking shells can refresh insecurities like size, shape, and shade.
Our Attention to Detail Impresses Bergen County, NJ, Patients
Outstanding dentist, best dentist I have found in all of my life. Super professional, excellent attention to detail!!
View on GoogleBest dentist and staff around ! Cesar is the best and super helpful. Amazing experience, can’t wait to be back for my cleaning !
View on Google

