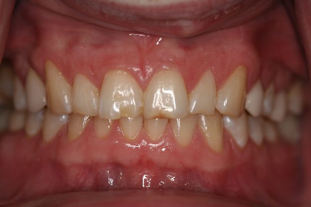
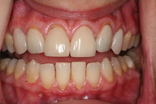
Dr. Stephen Malki is a dentist who believes a smile is one of the most important means of expression. His prestigious distinctions in his field include:
- Diplomate of the American Board of Oral Implantologists (ABOI)
- Fellow of the American Academy of Implant Dentistry (AAID)
- Diplomate of the International Congress of Oral Implantologists (ICOI)
- Master of the Misch International Implant Institute
- Fellow of the Academy of General Dentistry
To book your consultation, please send us a message online or call us today at (201) 646-0800.